Star Médica Tlalnepantla | Star Médica Luna Parc Cuautitlán Izcalli | San Ángel Inn Satélite | Tel. 55 28 39 43 61

Ultrasonido Ocular
El ultrasonido ocular (también llamado ecografía ocular o ultrasonografía oftálmica) es una prueba diagnóstica no invasiva y indolora que utiliza ondas sonoras de alta frecuencia para obtener imágenes detalladas del interior del ojo y la órbita ocular. Es especialmente útil cuando no se puede ver directamente el fondo del ojo debido a opacidades (como cataratas densas, hemorragias vítreas, opacidades corneales o inflamaciones).
¿Para qué sirve el ultrasonido ocular?
Permite evaluar estructuras internas del ojo que no se ven con el examen convencional. Sus principales indicaciones son:
Diagnosticar desprendimiento de retina o vitreo.
Detectar hemorragias vítreas, tumores oculares (benignos o malignos) o cuerpos extraños intraoculares.
Evaluar traumatismos oculares (ruptura del globo, hemorragia coroidea, etc.).
Medir la longitud axial del ojo (para calcular la potencia de la lente intraocular en cirugía de cataratas).
Diagnosticar glaucoma avanzado, tumores orbitarios o inflamaciones.
Evaluar la órbita (tejidos alrededor del ojo) en casos de proptosis (ojo salido) o infecciones.


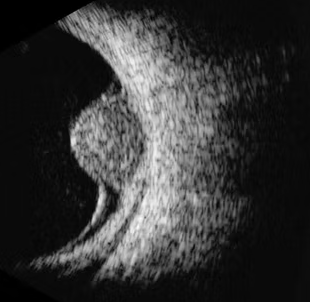
Existen dos modos principales:
Ecografía modo A (A-Scan o unidimensional):
Produce un gráfico de picos que representa las interfaces de los tejidos.
Sirve principalmente para medir distancias con precisión milimétrica (longitud axial del ojo, espesor del cristalino, etc.).
Es clave para calcular la potencia de la lente intraocular antes de la cirugía de cataratas.
Ecografía modo B (B-Scan o bidimensional):
Genera imágenes en 2D (como un corte del ojo) y videos en tiempo real.
Es el más utilizado para visualizar la anatomía interna: retina, vítreo, coroides, esclerótica, etc.
Permite detectar patologías como desprendimientos, masas tumorales o hemorragias.
A veces se combina ambos (modo A+B) para un diagnóstico más completo. También existe el modo B con Doppler para evaluar el flujo sanguíneo en tumores o inflamaciones.
¿Cómo se realiza el procedimiento?
Es un estudio rápido (5-15 minutos), ambulatorio y sin riesgos:
Se aplica anestesia en gotas (para evitar molestias si se toca el ojo).
Se coloca gel conductor en el párpado cerrado (o directamente sobre el ojo anestesiado).
El oftalmólogo pasa una sonda pequeña (transductor) sobre el párpado o el ojo.
El paciente debe mover el ojo en diferentes direcciones para obtener imágenes completas.
No requiere preparación especial ni ayuno.
© 2026 Todos los derechos reservados, Oftalmólogo Dr. Guillermo Villanueva


Avisos de Publicidad Cofepris
2415142002A00038
2415142002A00051
2615122002A00011
